MENU
医院紹介infomation
診療案内menu
医院紹介infomation
診療案内menu
BROKEN
食事中に硬いものを噛んだ拍子に、歯が欠けたり折れてしまうことがあります。
ただし、おせんべいやナッツなど一般的な硬さの食べ物で、健康な歯が簡単に折れることはほとんどありません。
歯が折れたり欠けたりした場合、
・むし歯が進行していた
・詰め物や被せ物の下でトラブルが起きていた
・歯に目に見えない細かなヒビが入っていた
など、何らかの異常が起きていた可能性が高いと考えられます。
また、スポーツ中の事故や転倒による破損も、
「痛みがないから大丈夫」と放置するのは危険です。
見た目に小さな欠けでも、内部でダメージが広がっていることがあります。
歯は、一度折れたり欠けたりすると自然に元に戻ることはありません。
放置すると、折れた部分からむし歯や感染が進行し、
最終的に歯を失ってしまう可能性もあります。
早めに処置を行うことで、
・ダメージを最小限に抑えられる
・状態によっては折れた歯を再接着できる可能性がある
といったメリットがあります。
「今さら受診しても変わらないかも…」と思わず、
時間が取れたタイミングで必ず検査を受けましょう。
歯は一度失ってしまうと、二度と元には戻りません。
突然の事故などで歯が大きく折れてしまった場合は、
歯の破片を捨てずに保管し、来院時に必ずお持ちください。
【正しい保管方法】
・乾燥させない
・牛乳に浸して保管する
水道水で洗ったり、水に浸したりすると、
浸透圧の影響で「歯根膜(しこんまく)」という大切な組織が傷ついてしまいます。
牛乳は体液に近い浸透圧のため、歯根膜を守りながら乾燥を防ぐことができます。
むし歯や転倒などにより、歯が欠けたり折れたりすることがあります。
「痛みがない」「欠け方が小さい」といった理由で放置するのは危険です。
欠けた部分から細菌が入り込み、むし歯や感染が進行することがあります。
また、外傷の影響で歯だけでなく、歯ぐきや顎の骨にまでダメージが及んでいる場合もあります。
歯は互いに支え合って並んでいるため、
1本のトラブルを放置すると、歯並びや噛み合わせが乱れるなど、
お口全体に悪影響が広がってしまいます。
歯がグラグラと揺れ始める
冷たい甘いもので歯がしみる
噛んだときに痛みが出る
歯が脱臼し最終的に抜けてしまう
神経が傷つき、歯が変色する
歯ぐきから出血しやすくなる 欠けた部分に歯科用の樹脂(コンポジットレジン)やセラミックを接着し、形を整える治療です。
・歯を削る量が少ない
・自分の歯を多く残せる
・自然な見た目に仕上がる
欠け方が小さい場合は、短時間で治療が完了し、見た目もきれいに回復できます。
差し歯(クラウン)は、残っている歯の根を土台に人工の歯を被せる治療です。
歯を整え、土台を立てたうえで被せ物を装着します。
・自分の歯の根を活かせる
・見た目や噛む機能を回復できる
ただし、歯の根が弱っている場合や金属の土台を使用すると、
将来的に根が割れるリスクがあるため注意が必要です。
前歯など目立つ部位では、セラミックなど自然な色の素材が選ばれることも多くあります。
失った歯の両隣の歯を削り、支えとして一体型の人工歯を装着します。
・固定式で違和感が少ない
・比較的しっかり噛める
一方で、健康な歯を削る必要があり、清掃不足によるむし歯や歯周病のリスクがあります。
部分入れ歯・総入れ歯があり、保険適用で費用を抑えられる点が特徴です。
・噛む力は自分の歯の20〜30%程度
・硬いものが食べにくい
・留め具や粘膜に負担がかかることがある
顎の骨に人工の歯根を埋め込み、その上に人工歯を装着する治療です。
・自分の歯に近い感覚で噛める
・周囲の歯を削らない
・見た目が自然
ただし、外科手術が必要で保険適用外となり、治療後のメンテナンスも重要です。
転んで歯が折れ、出血しています。どうすればいいですか?
まずは清潔なガーゼやティッシュで止血してください。
歯の破片が見つかった場合は、乾燥を防ぐため牛乳に浸して保管し、
できるだけ早く歯科医院を受診しましょう。
水で洗ったり、ティッシュに包むのは避けてください。
子どもが歯をぶつけました。大人の歯に影響はありますか?
外傷の程度によっては、将来生えてくる永久歯が変色するなどの影響が出ることがあります。
たとえ乳歯が折れたり欠けたりしていなくても、
「乳歯はいずれ抜けるから」と自己判断せず、早めの受診をおすすめします。
欠けた歯は自然に元に戻りますか?
残念ながら、欠けたり折れたりした歯が自然に再生することはありません。
歯の破損は緊急性の高い状態です。痛みがなくても、必ず歯科医院を受診しましょう。
欠けた歯を放置するとどうなりますか?
欠けた部分から象牙質が露出し、むし歯や痛みが起こりやすくなります。
また、尖った部分で舌や頬を傷つけることもあるため、早めの治療が大切です。
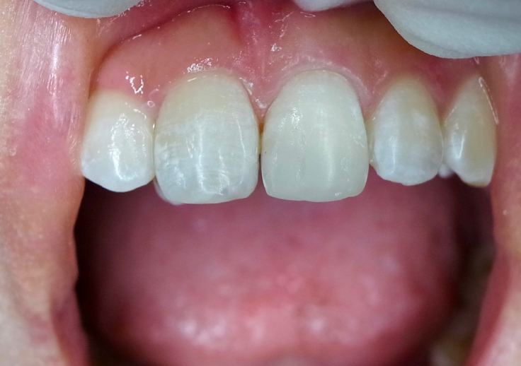
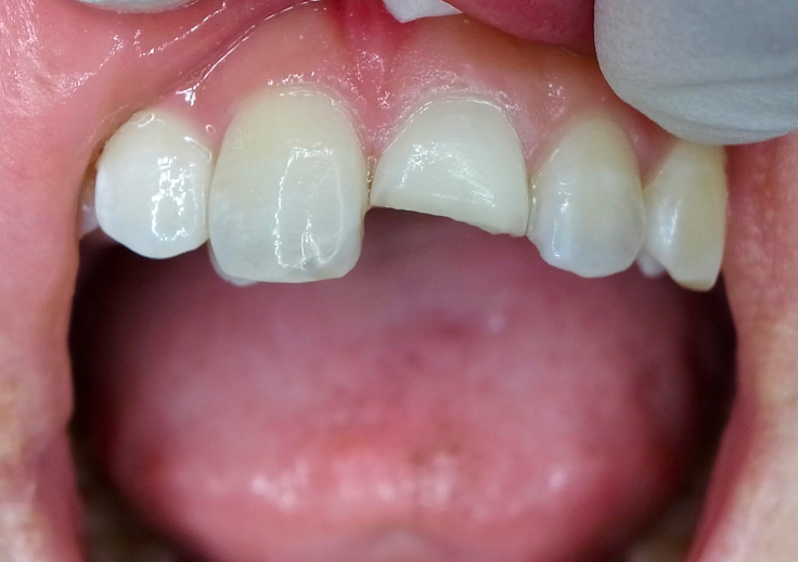
Before
After
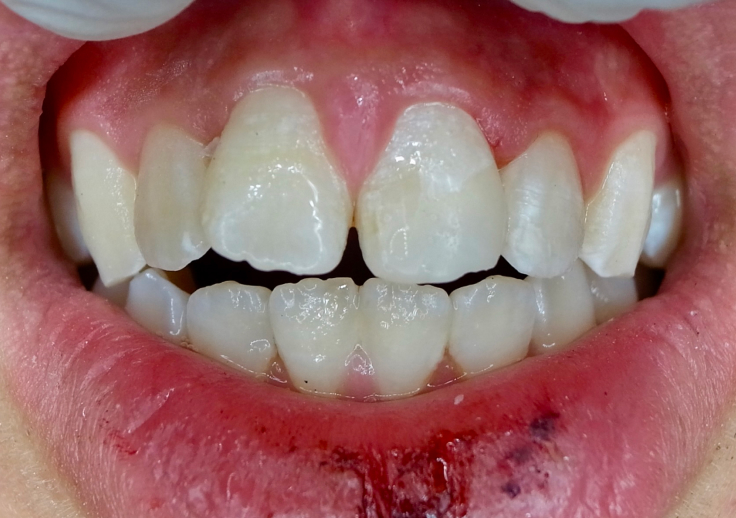
Before
After
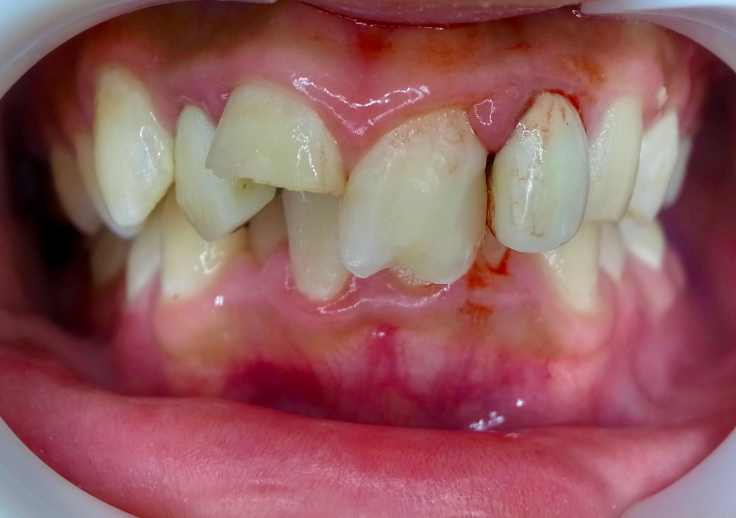
Before
After
Before
After 歯が欠けた・折れた場合の治療は、
歯や神経、骨の状態によって最適な方法が大きく異なります。
そのため、状態に合った治療を選択することがとても重要です。
「どの治療が自分に合っているかわからない」
「できるだけ歯を残したい」
少しでも違和感があれば、早めにご相談ください。
当院では状態をしっかり確認し、できる限り歯を残す治療をご提案しています。




| 診療時間 | 月 | 火 | 水 | 木 | 金 | 土 | 日 |
|---|---|---|---|---|---|---|---|
| 9:00~13:00 | ● | ● | ● | ▲ | ● | ▲ | / |
| 14:00~18:00 | ● | ● | ● | ▲ | ● | ▲ | / |
〒480-1152愛知県長久手市打越1812 - 2