MENU
医院紹介infomation
診療案内menu
医院紹介infomation
診療案内menu
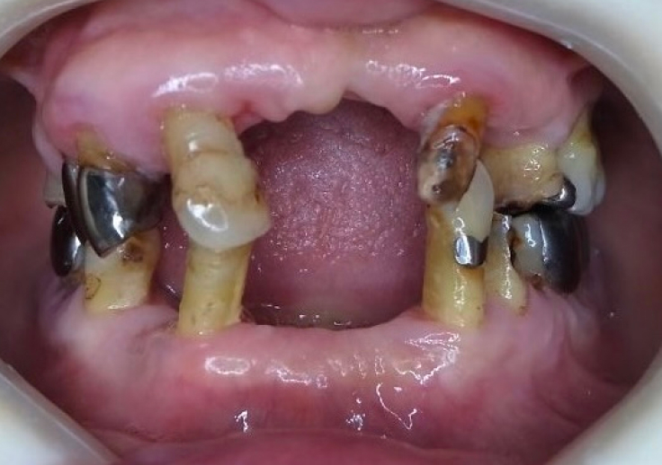
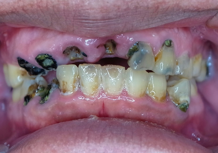
deterioration
そんな状態を放置すると、奥歯が少なくなり噛むことが難しくなるだけでなく、転倒リスクの増加や生活習慣病の悪化など、全身の健康にも影響します。
当院では、どんなに悪い状態でも対応可能です。経験豊富な医師がインプラント・歯周病治療などから最適な方法をご提案し、改善に導きます。
「行きたいけど、怖くて踏み出せない…」
そんな患者さんは少なくありません。
過去の治療で
⚫︎痛みがつらかった
⚫︎説明不足で不安だった
⚫︎プライバシーが守られなかった
などの経験から、歯医者に行けなくなってしまった方もいらっしゃいます。
当院ではその気持ちに寄り添い、「痛みや不安をできるだけ減らす治療」を心がけています。
表面麻酔 針を刺す前に麻酔液で痛みを軽減
極細の注射針 できる限り刺激を少なく
睡眠無痛治療(静脈内鎮静法) 眠っている間に治療が完了。歯科恐怖症・嘔吐反射が強い方・短期間で治したい方におすすめ
治療は患者さんの同意があって初めて進められます。
⚫︎必要性
⚫︎手順や期間
⚫︎選択肢やリスク
をわかりやすく説明し、納得いただいたうえで治療を行います。
「早く終わらせたい」という方のために、効率的な治療を導入。
☑︎1回の治療時間を長めに確保し、来院回数を減らす
☑︎CTなど精密機器で無駄を減らし、治療精度を向上
「口の悩みを他の人に聞かれたくない」
そんな方のために、個室の診療室とカウンセリングルームをご用意しています。落ち着いた空間で安心して相談いただけます。
歯周病は糖尿病や心筋梗塞、脳梗塞のリスクを高めるといわれており、噛み合わせの乱れは頭痛・肩こり・腰痛など全身の不調につながることもあります。
さらに、歯の見た目にコンプレックスを感じることで、人との交流を避けたり、気分が落ち込んでしまう方も少なくありません。
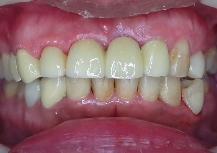
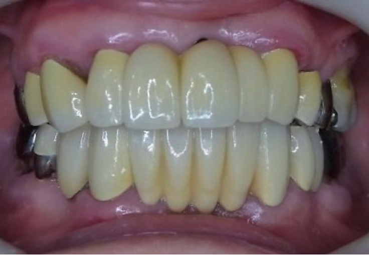
ですが、どんなに歯がボロボロでも、治療によって必ず改善の道は開けます。「もう遅い」とあきらめる必要はありません。
当院では初めての方に安心していただけるよう、個別相談を実施しています。
⚫︎今の不安を聞いてほしい
⚫︎治療方法について知りたい
⚫︎費用や期間を相談したい
どんな内容でも大丈夫です。まずは一度、ご相談ください。




| 診療時間 | 月 | 火 | 水 | 木 | 金 | 土 | 日 |
|---|---|---|---|---|---|---|---|
| 9:00~13:00 | ● | ● | ● | ▲ | ● | ▲ | / |
| 14:00~18:00 | ● | ● | ● | ▲ | ● | ▲ | / |
〒480-1152愛知県長久手市打越1812 - 2